Preview

Вестник хирургии имени И.И. Грекова

Расширенный поиск

Хирургическое лечение тромбоэмболии легочной артерии высокого риска на фоне парадоксальной эмболии, осложненной острым нарушением мозгового кровообращения

https://doi.org/10.24884/0042-4625-2022-181-3-69-75

Аннотация

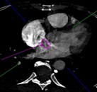
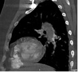
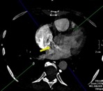
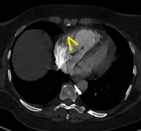
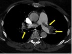
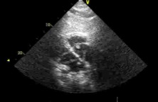
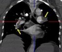
В статье представлен случай успешного хирургического лечения тромбоэмболии легочной артерии у пациентки с высоким риском ранней сердечной смерти на фоне парадоксальной эмболии, осложненной острым нарушением мозгового кровообращения. Криптогенное острое нарушение мозгового кровообращения в комбинации с тяжелой прогрессирующей правожелудочковой недостаточностью на фоне ТЭЛА обусловливает серьезные трудности при принятии решения в отношении тактики лечения у данных больных. Внутрисердечная локализация тромбоэмбола, угрожаемая развитием не только рецидива тромбоэмболии легочной артерии, но и парадоксальной эмболии требует незамедлительного выполнения комплекса дифференциально-диагностического обследования, направленного на верификацию патофизиологического механизма развития заболевания, что во многом определяет эффективность проводимого лечения. Анализ доступных литературных данных, приведенный в работе, а также анализ клинического случая позволяют выработать тактический алгоритм в этой группе пациентов и определить показания к открытому оперативному вмешательству.

Об авторах

А. Б. Гамзаев
Государственное бюджетное учреждение здравоохранения Нижегородской области «Научно-исследовательский Институт – Специализированная кардиохирургическая клиническая больница имени академика Б. А. Королёва»
Россия

Гамзаев Алишир Баги оглы, доктор медицинских наук, сердечно-сосудистый хирург III кардио-хирургического отделения

г. Нижний Новгород


Конфликт интересов:

Авторы заявили об отсутствии конфликта интересов



С. А. Федоров
Государственное бюджетное учреждение здравоохранения Нижегородской области «Научно-исследовательский Институт – Специализированная кардиохирургическая клиническая больница имени академика Б. А. Королёва»
Россия

Федоров Сергей Андреевич, кандидат медицинских наук, сердечно - сосудистый хирург II кардио-хирургического отделения

603950, г. Нижний Новгород, ул. Ванеева, д. 209


Конфликт интересов:

Авторы заявили об отсутствии конфликта интересов



В. А. Чигинев
Государственное бюджетное учреждение здравоохранения Нижегородской области «Научно-исследовательский Институт – Специализированная кардиохирургическая клиническая больница имени академика Б. А. Королёва»
Россия

Чигинев Владимир Александрович, доктор медицинских наук, сердечно-сосудистый хирург, заведующий операционным блоком

г. Нижний Новгород


Конфликт интересов:

Авторы заявили об отсутствии конфликта интересов



В. В. Пичугин
Государственное бюджетное учреждение здравоохранения Нижегородской области «Научно-исследовательский Институт – Специализированная кардиохирургическая клиническая больница имени академика Б. А. Королёва»
Россия

Пичугин Владимир Викторович, доктор медицинских наук, врач анестезиолог – реаниматолог

г. Нижний Новгород


Конфликт интересов:

Авторы заявили об отсутствии конфликта интересов



В. В. Теплицкая
Государственное бюджетное учреждение здравоохранения Нижегородской области «Научно-исследовательский Институт – Специализированная кардиохирургическая клиническая больница имени академика Б. А. Королёва»
Россия

Теплицкая Виктория Викторовна, кандидат медицинских наук, зам. главного врача

г. Нижний Новгород


Конфликт интересов:

Авторы заявили об отсутствии конфликта интересов



М. Б. Сухова
Государственное бюджетное учреждение здравоохранения Нижегородской области «Научно-исследовательский Институт – Специализированная кардиохирургическая клиническая больница имени академика Б. А. Королёва»
Россия

Сухова Марина Борисовна, кандидат медицинских наук, зав. рентгенодиагностическим отделением

г. Нижний Новгород


Конфликт интересов:

Авторы заявили об отсутствии конфликта интересов



П. В. Пименова
Государственное бюджетное учреждение здравоохранения Нижегородской области «Научно-исследовательский Институт – Специализированная кардиохирургическая клиническая больница имени академика Б. А. Королёва»
Россия

Пименова Полина Вячеславовна, врач ультразвуковой диагностики

г. Нижний Новгород


Конфликт интересов:

Авторы заявили об отсутствии конфликта интересов



С. Е. Домнин
Государственное бюджетное учреждение здравоохранения Нижегородской области «Научно-исследовательский Институт – Специализированная кардиохирургическая клиническая больница имени академика Б. А. Королёва»
Россия

Домнин Степан Евгеньевич, кандидат медицинских наук, 
врач анестезиолог – реаниматолог

г. Нижний Новгород


Конфликт интересов:

Авторы заявили об отсутствии конфликта интересов



Список литературы

1. Медведев А. П., Федоров С. А., Трофимов Н. А., Целоусова Л. М. Ошибки диагностики и лечения тромбоэмболии легочной артерии // Кардиология и сердечно-сосудистая хирургия. 2021. Т. 14, № 1. С. 54–59. Doi: 10.17116/kardio20211401154.

2. Медведев А. П., Иванов Л. Н., Широкова О. Р., Широков А. М., Калинина М. Л., Федоров С. А., Юрасова Е. В., Аржанов Н. Б. Угрожающая парадоксальная эмболия, массивная окклюзия легочной артерии: стратификация риска, тактика лечения. //Ангиология и сосудистая хирургия. 2019. Т. 25, № 2. С. 158–164. Doi: 10.33529/ANGIO2019218.

3. Ларчикова Ю. В., Эрлих А. Д., Сметанина И. Н., Желтов Н. Ю. Клинический случай парадоксальной эмболии, вызвавшей острый инфаркт миокарда после тромбоза глубоких вен //Атеротромбоз. 2020. № 2. С. 161–168. Doi: 10.21518/2307-1109-2020-2-161-168.

4. Furlan A. J., Reisman M., Massaro J. et al. Closure or medical therapy for cryptogenic stroke with patent foramen ovale // N Engl J Med. 2012. № 366. P. 991–999.Doi: 10.1056/NEJMoa1009639.

5. Cramer S. C, Rordorf G., Maki J. H. et al. Increased pelvic vein thrombi in cryptogenic stroke results of the paradoxical emboli from large veins in ischemic stroke (pelvis) study // Stroke. 2004. № 35. P. 46–50. Doi: 10.1161/01.STR.0000106137.42649.AB.

6. Handke M., Harloff A., Olschewski M. et al. Patent foramen ovale and cryptogenic stroke in older patients // N Engl J Med. 2007. № 357. P. 2262–2268. Doi: 10.1056/NEJMoa071422.

7. Silver M. D., Dorsey J. S. Aneurysms of the septum primum in adults // Arch Pathol Lab Med. 1978. № 102. P. 62–65.

8. Shirani J., Zafari A. M., Roberts W. C. Morphologic features of fossa ovalis membrane aneurysm in the adult and its clinical significance //J Am Coll Cardiol. 1995. Vol. 26, № 2. P. 466–71. Doi: 10.1016/0735- 1097(95)80024-b.

9. Homma S., Sacco R. L. Patent foramen ovale and stroke // Circulation. 2005. № 112. P. 1063–1072. Doi:10.1161/Circulationaha.104.524371.

10. Goel S. S., Tuzcu E. M., Shishehbor M. H. et al. Morphology of the patent foramen ovale in asymptomatic versus symptomatic (stroke or transient ischemic attack) patients // Am J Cardiol. 2009. № 103. P. 124–129. Doi: 10.1016/j.amjcard.2008.08.036.

11. Botto N., Spadoni I., Giusti S. et al. Prothrombotic mutations as risk factors for cryptogenic ischemic cerebrovascular events in young subjects with patent foramen ovale //Stroke. 2007. № 38. P. 2070–2073.Doi: 10.1161/STROKEAHA.106.480863.


Дополнительные файлы

1. Рис. 1
Тема
Тип Исследовательские инструменты
Посмотреть (10KB)    
Метаданные ▾
2. Неозаглавлен
Тема
Тип Исследовательские инструменты
Посмотреть (11KB)    
Метаданные ▾
3. Неозаглавлен
Тема
Тип Исследовательские инструменты
Посмотреть (11KB)    
Метаданные ▾
4. Неозаглавлен
Тема
Тип Исследовательские инструменты
Посмотреть (10KB)    
Метаданные ▾
5. Неозаглавлен
Тема
Тип Исследовательские инструменты
Метаданные ▾
6. Неозаглавлен
Тема
Тип Исследовательские инструменты
Метаданные ▾
7. Неозаглавлен
Тема
Тип Исследовательские инструменты
Метаданные ▾
8. Неозаглавлен
Тема
Тип Исследовательские инструменты
Метаданные ▾
9. Неозаглавлен
Тема
Тип Исследовательские инструменты
Посмотреть (10KB)    
Метаданные ▾
10. Неозаглавлен
Тема
Тип Исследовательские инструменты
Метаданные ▾
11. Неозаглавлен
Тема
Тип Исследовательские инструменты
Посмотреть (16KB)    
Метаданные ▾
12. Неозаглавлен
Тема
Тип Исследовательские инструменты
Посмотреть (11KB)    
Метаданные ▾
13. Неозаглавлен
Тема
Тип Исследовательские инструменты
Посмотреть (15KB)    
Метаданные ▾
14. Направление в редакцию журнала
Тема
Тип Исследовательские инструменты
Скачать (310KB)    
Метаданные ▾
15. Согласие авторов
Тема
Тип Исследовательские инструменты
Скачать (441KB)    
Метаданные ▾

Рецензия

Для цитирования:


Гамзаев А.Б., Федоров С.А., Чигинев В.А., Пичугин В.В., Теплицкая В.В., Сухова М.Б., Пименова П.В., Домнин С.Е. Хирургическое лечение тромбоэмболии легочной артерии высокого риска на фоне парадоксальной эмболии, осложненной острым нарушением мозгового кровообращения. Вестник хирургии имени И.И. Грекова. 2022;181(3):69-75. https://doi.org/10.24884/0042-4625-2022-181-3-69-75

For citation:


Gamzaev A.B., Fedorov S.A., Chiginev V.A., Pichugin V.V., Teplitskaya V.V., Sukhova M.B., Pimenova P.V., Domnin S.E. Surgical treatment of high-risk pulmonary embolism associated with paradoxical embolism, complicated by acute cerebrovascular accident. Grekov's Bulletin of Surgery. 2022;181(3):69-75. (In Russ.) https://doi.org/10.24884/0042-4625-2022-181-3-69-75

Просмотров: 646


Creative Commons License
Контент доступен под лицензией Creative Commons Attribution 4.0 License.


ISSN 0042-4625 (Print)
ISSN 2686-7370 (Online)